Restore Your Smile with the Best Tooth Replacement Options
-

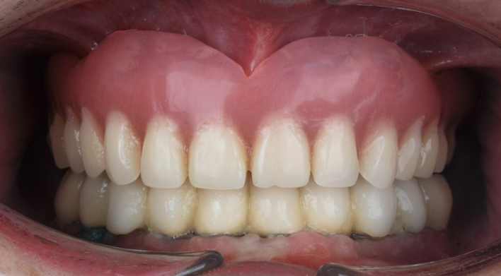
Dental Implants
Dental implants are the ultimate solution for replacing missing teeth. They can replace a single missing tooth or multiple teeth. These biocompatible titanium posts are surgically placed into the jawbone, where they fuse with the bone in a process called osseointegration, typically taking 3-6 months. Once fully integrated, the implants are restored with custom porcelain crowns, bridges or snap-in dentures for a natural look and feel.
Why Choose Dental Implants?
Durability: Implants are long-lasting, resistant to decay, and require fewer adjustments than bridges or dentures.
Natural Aesthetics: Custom-designed porcelain crowns blend seamlessly with your natural teeth.
Functionality: Enjoy the freedom to eat, speak, and smile without worry, restoring full oral function.
Bone Preservation: Implants stimulate the jawbone, preventing bone loss and maintaining facial structure.
Implant overdentures are a secure and stable alternative to traditional dentures. Using dental implants to anchor a full or partial denture, they offer superior comfort and functionality compared to removable dentures. Snap-in overdentures ensure that your dentures stay in place, eliminating the discomfort and inconvenience of loose-fitting dentures.
If you're considering dental implants, it’s important to act soon. Over time, bone loss can affect the strength and aesthetics of the implant. Early consultation ensures you have a strong foundation for a successful procedure.
Get in touch with us to learn more about how dental implants can restore your smile and improve your quality of life!
-

Bridges
Dental bridges are an excellent solution for those who have lost one or more teeth. By using neighboring teeth for support, dental bridges effectively replace missing teeth, restoring both function and appearance. The procedure involves placing a prosthetic tooth, known as a bridge, anchored to the adjacent teeth, providing a stable, long-lasting, and natural-looking replacement.
Key Benefits of Dental Bridges:
Restores Functionality: Missing teeth can affect chewing, speaking, and overall oral comfort. Dental bridges restore these functions, allowing you to eat and speak with confidence again.
Enhances Aesthetics: A dental bridge blends seamlessly with your natural teeth, creating a beautiful, complete smile. It's a great option for those who want to improve the appearance of their teeth.
Prevents Teeth Shifting: When a tooth is lost, nearby teeth may shift out of place, causing alignment issues. A dental bridge helps prevent this, ensuring your teeth stay properly aligned.
Durability and Longevity: Dental bridges are made from strong materials like porcelain or metal, ensuring they last for many years with proper care.
Improved Oral Health: By filling the gap left by missing teeth, dental bridges help to preserve the integrity of your remaining teeth and gums, reducing the risk of further dental problems.
If you're missing teeth and want to restore your smile, a dental bridge could be the perfect solution.
-

Dentures & Partials
When it comes to replacing missing teeth, dentures and partials offer effective solutions to restore your smile, functionality, and confidence.
Full dentures, also known as complete dentures, are ideal for individuals who have lost all of their teeth in one or both arches (upper or lower). These dentures are custom-made to fit snugly over your gums and provide a natural-looking smile. Full dentures are designed to restore your ability to chew, speak clearly, and enhance your facial appearance.
Benefits of Full Dentures:
Restores functionality: Regain the ability to chew and speak clearly.
Improved smile aesthetics: Custom-designed to match your natural appearance.
Affordable solution: A cost-effective way to replace all missing teeth.
Partial dentures are ideal for people who still have some healthy teeth remaining. These dentures fill the gaps created by missing teeth and are designed to blend seamlessly with your natural teeth. Partial dentures are supported by natural teeth and often have a metal or acrylic framework for stability.
Benefits of Partial Dentures:
Preserves remaining teeth: Helps prevent shifting and maintains the alignment of your natural teeth.
Customizable design: Fits comfortably and discreetly with your natural teeth.
Affordable and flexible: A budget-friendly option for those missing some but not all teeth.
